Die Haltung der Bürste macht den Unterschied
Mit einer elektrischen Bürste sollten Sie auf gleiche Weise verfahren.


So ist die Bürstenhaltung optimal:
- Die inneren Zahnflächen (zum Gaumen und zur Zunge) werden vollständig erfasst.
- Die Borsten dringen weit in die Zahnzwischenräume ein.

Die Bewegung erfolgt in Längsrichtung der Bürste. Wenn die Borsten am Zahnfleischrand zu fühlen sind, ist es richtig.
Die Außenseiten:
Eine präzise Führung der Bürste macht es aus.

gute
Reinigung der äußeren Zahnfleischränder
- → Ausrichtung der Bürste parallel zum Verlauf der Zahnreihe
- → die Borsten zeigen auf den Zahnfleischrand, ca 45 Grad
- → Bewegung der Bürstge in kleinen Kreisen
- → geringer Druck
- → jede Stelle ca 6-7 Sekunden lang bürsten

schlechte
Reinigung der äußeren Zahnfleischränder
- × Borsten direkt auf die Zähne und nicht auf den Zahnfleischrand gerichtet
- × dadurch werden die Zahnzwischenräume nicht gereinigt
- × lange schrubbende Bewegungen schädigen die Zahnhälse
Außenseiten:
Eine präzise Führung der elektrischen Bürste macht es aus.

Durch Drehung der Bürste zeigen die Borsten in Richtung Zahnfleischrand und sie schmiegen sich in die Zwischenräume, so bekommen Sie diese wichtigen Stellen sauber.

Außenseiten:
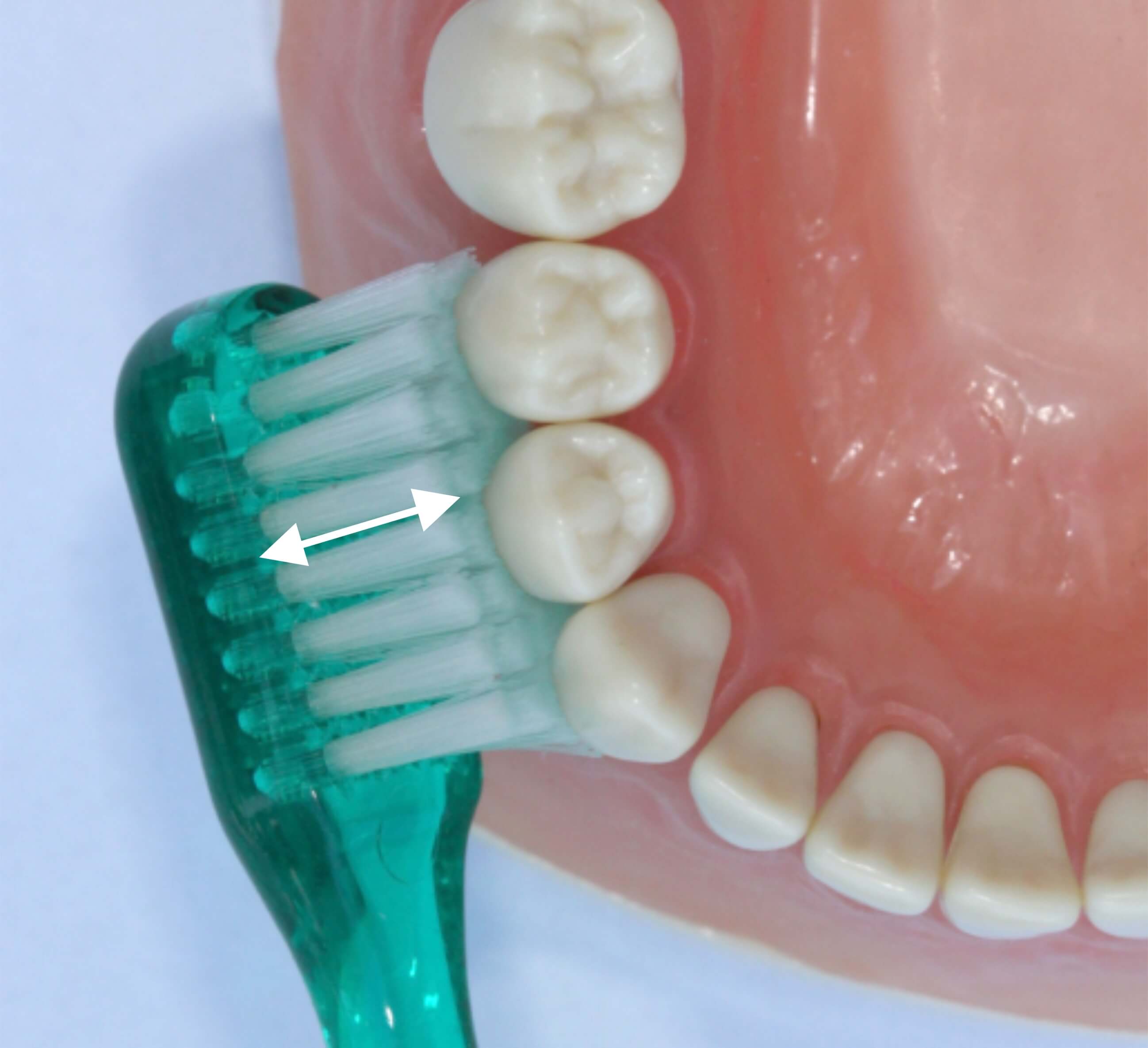
Wie Sie in die Zwischenräume kommen

Um noch tiefer in die Zwischenräume einzudringen, wird die Bürste in die Kaufläche gedreht, sodass die Borsten leicht in Richtung Kaufläche bzw. Schneidekante gerichtet sind. Die Bewegung besteht aus kurzen, wiederholten Bewegungen vom Zahnfleisch in Richtung Zahn - in Längsrichtung der Borsten (Pfeil).

Systematisches Vorgehen beim Putzen
der äußeren Zahnflächen
Der Anweisung folgen Sie unabhängig davon, ob Sie eine Handzahnbürste verwenden oder eine elektrische Bürste:
- Die Bürste wird mit den Borsten in Richtung Zahnfleischrand auf die Zähne gesetzt und in kreisenden Bewegungen über die Außenflächen geführt.
- Die Kreise sind im Normalfall so groß, dass sowohl die Schneidekanten als die Zahnfleischränder vollständig erfasst werden. Machen Sie sieben kreisende Bewegungen
- Danach drehen Sie die Bürste so, dass die Borsten vom Zahnfleich in Richtung Schneidekanten zeigen. Machen Sie sieben kurze Züge von ca. 5 mm vom Zahnfleisch in Richtung Schneidekante. Wenn die Borsten in die Zwischenräume eindringen, spüren Sie einen Widerstand.
- Dann reinigen Sie den benachbarten Abschnitt auf gleiche Weise. Die Bürstenhaltung muss dazu meistens etwas nachjustiert werden - sie soll immer parallel zum Verlauf der Zahnreihe ausgerichtet sein.
- Noch ein letzter Tipp: Geringer Anpressdruck putzt besser.
Zahnpflege Marke Eigenbau?

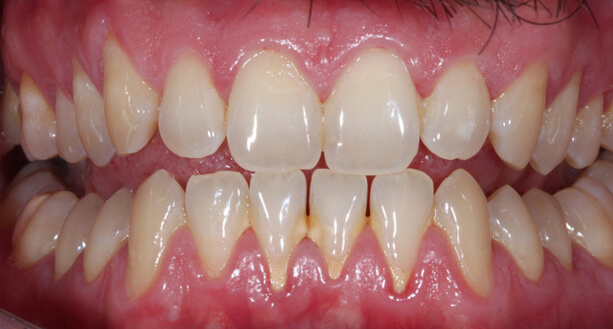
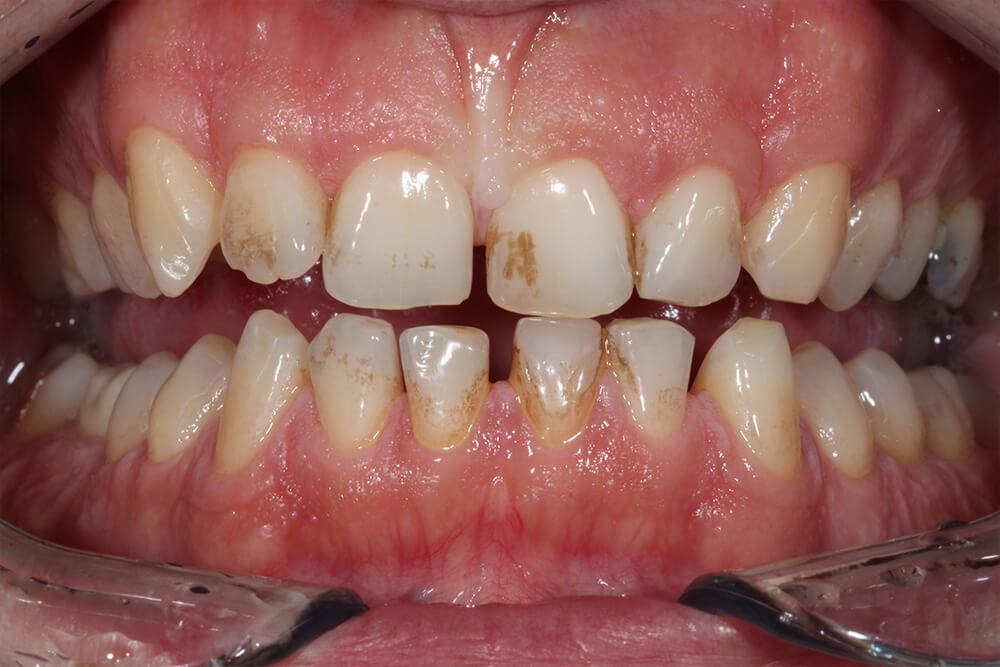
So sieht es in den meisten Mündern aus:
- eigentlich sehr schöne Zähne aber entlang der Zahnfleischränder bestehen Probleme
- Gelber Zahnsteinbefall
- Zahnfleischrückgang in jungen Jahren

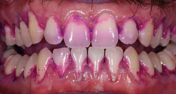
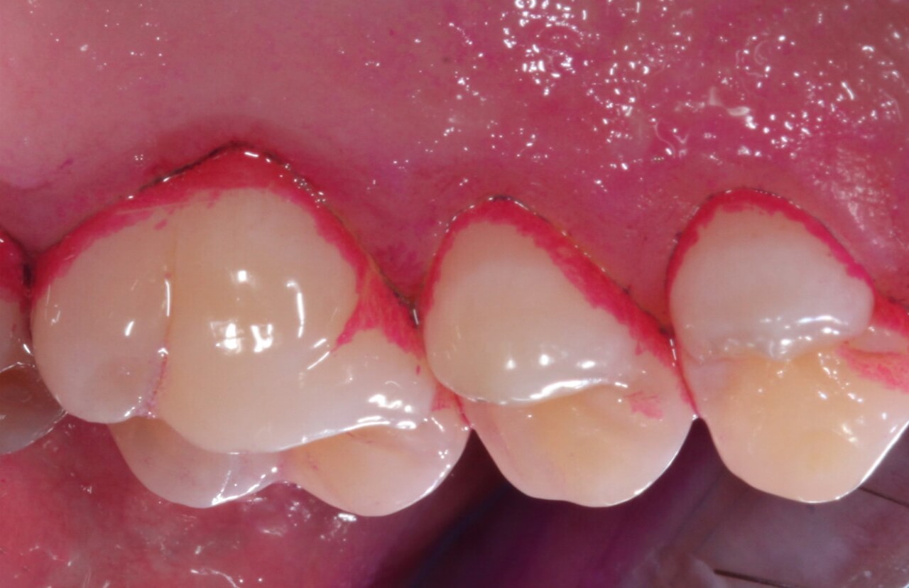
Durch anfärben der Zahnbeläge wird deutlich, dass gerade die wichtigen Stellen von der Zahnbürste nicht erfasst werden:
- Die Zahnfleischränder
- Die Zahnzwischenräume
Eine Umstellung der Mundpflegetechnik ist sehr wichtig.
Die übliche Zahnpflege

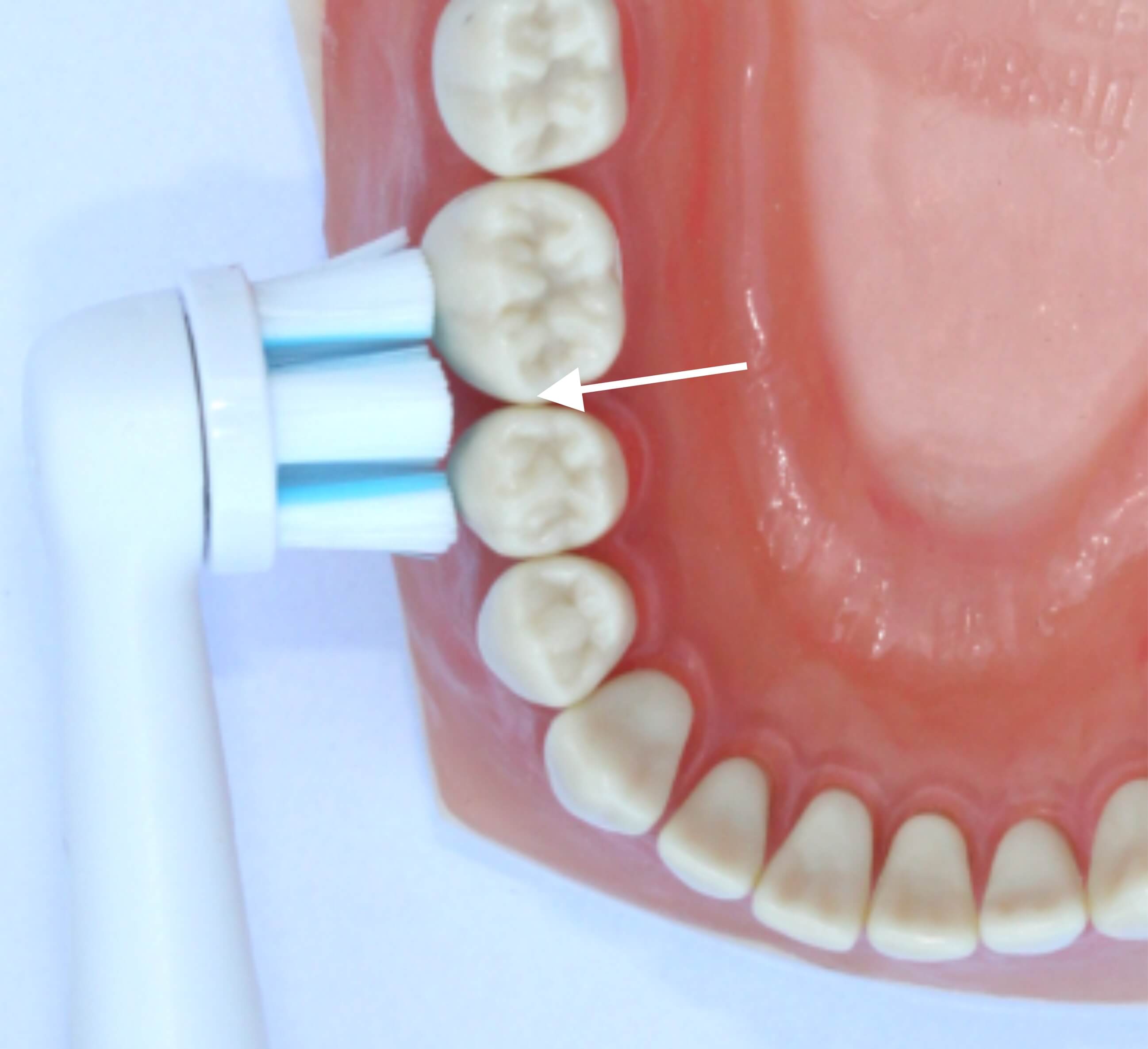
Das leistet die übliche Zahnpflege an den inneren Zahnflächen im Unterkiefer:
Die Zahnfleischränder und die Zahnzwischenräume (Pfeile) sind voller Bakterien, die durch Farbe sichtbar gemacht sind.

Unschön: Rauchbeläge

Rauchbeläge bilden sich an Stellen, die von der Zahnbürste nicht intensiv gereinigt werden.
Durch eine professionelle Zahnreinigung lassen sie sich entfernen.

Rauchbeläge bilden sich an Stellen, die von der Zahnbürste nicht intensiv gereinigt werden.
Durch eine professionelle Zahnreinigung lassen sie sich entfernen.